Fluoresceina

Angiografia fluoresceínica en hamartoma combinado de retina y epitelio pigmentario
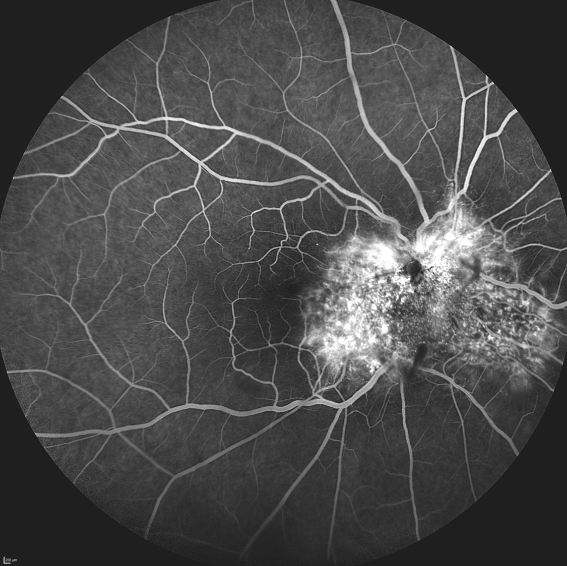
Angiografía fluoresceínica en hamartoma combinado de retina y epitelio pigmentario

Los hamartomas combinados de retina y epitelio pigmentario retiniano (CHRRPE) son raros tumores benignos, caracterizados por la proliferación del epitelio pigmentario retiniano (EPR) y tejido glial, generando gran distorsión papilar y retiniana. Se aprecia una lesión solitaria unilateral sobrelevada, hiperpigmentada, acompañada de tortuosidad vascular y membrana epirretiniana (MER).

Angiografia fluoresceínica en hamartoma combinado de retina y epitelio pigmentario modo negro sobre blanco
Angiografía fluoresceínica en hamartoma combinado de retina y epitelio pigmentario modo negro sobre blanco

La angiografía puede ayudar bastante en el diagnóstico observándose en las fases precoces hipofluorescencia en relación al grado de hiperpigmentación del tumor, tortuosidad vascular y telangiectasias. En la fase media se observan mejor las anomalías vasculares y según avanzan los tiempos los vasos suelen fugar dando lugar a una hiperfluorescencia tardía.